上海美奥口腔
会员未认证
商家介绍
全部信息
新闻中心
商家相册
人才招聘
诚信档案
联系方式
商家相册
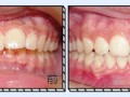
牙齿矫正案例
0 张图片
2018-10-09 18:09
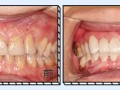
牙齿修复案例
0 张图片
2018-10-09 18:09
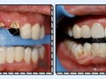
牙齿美白案例
0 张图片
2018-10-09 18:09